A szájpadlásfájdalomnak sok oka lehet, például dudor, hólyag, afta, seb – vagy esetleg gyulladás. Szerencsére mindegyik problémára van megoldás.
Mielőtt rátérünk jelenlegi témánkra, olvasóink szíves figyelmébe ajánljuk a szájsebészeti kezelésekről szóló aloldalunat, ahol valamennyi, rendelőnkben végzett szájsebészeti beavatkozásról informálódhatnak. (És természetesen a szájsebészeti eljárások árait is megtalálhatják weboldalunkon.)
Nos, mint az közismert, a száj az emésztőrendszerünk első, és egyik legfontosabb szerve. Ha megfájdul, az különösen kellemetlen, hiszen nap mint nap rengeteget használjuk, legyen szó kommunikációról vagy táplálkozásról.
“Fáj a szájpadlásom!” Amikor ez a mondat megfogalmazódik bennünk, valószínűleg kétségbeesve keressük a fájdalom okát a neten, vagy esetleg az ismerőseinket kérdezve. Nem véletlenül: az egyik legkellemetlenebb probléma, ami a szájban jelentkezhet, a szájpadlás fájdalma.
Ahhoz, hogy a szájpadlás fájdalmát megszüntessük, két nagyon fontos dologra van szükség:
- kideríteni a fájdalmat okozó tényezőt;
- megszüntetni ezt az okot és meggyógyítani a szájpadlást.
Lássuk, mi okozhatja a szájpadlás fájdalmát.
A szájpadlás betegségei, a szájpadlásfájdalom okai
Amikor sajgást érzünk a szánkban, az esetek túlnyomó részében szemmel is látható, mi okozhatja a problémát. Előfordulhat azonban, hogy csak fájdalmat vagy viszketést érzünk a szájpadláson, ezen kívül pedig semmi más nyom vagy tünet nem utal arra, hogy valami sebesülés lenne a szájpadlásunkon.
A szájpadlás viszketése
Miért viszket a szájpadlásom? Miért lüktet a szájpadlásom? – teszik fel sokan a kérdést. Teljesen természetes, hogy a szájpadlás néha viszket, hiszen egyfolytában érintkezik a nyelvvel, illetve a különböző ételekkel. Az egészséges szájpadlás is szokott viszketni. Ha azonban túl gyakran jelentkezik ez a tünet, akkor valószínűleg valami baj van. Ilyenkor elsőként a fül-orr-gége környékén keresendő az ok.
Az egyik leggyakoribb ok az allergia, ezért mindenképpen érdemes elmenni egy allergia kivizsgálásra. Pollenallergiára gyanakodhatunk, ha feltűnő, hogy valamilyen fa vagy gyom virágzásának idején jelentkezik a viszketés – de például a poratka (“porallergia”) egész évben okozhat tüneteket. Egy alapos kivizsgálással nem csak a szájpadlás viszketésének vehetjük elejét, de a vizsgálat sok olyan élelmiszert is kimutathat, amire allergiásak lehetünk, anélkül, hogy tudtunk volna róla.
A szájpadlás sebei, fekély a szájpadláson
Ezek legtöbbször olyan sebek, amelyeket mi okoztunk magunknak, például kemény étel (pirítós) vagy szálkás hal evése közben, de akár fogpiszkálóval is megsérthetjük a szájpadlás nyálkahártyáját. Afta vagy hólyag a szájpadláson ugyancsak megjelenhet, sőt, még herpeszvírus okozta gingivostomatitis herpetica, vagy bárányhimlő vírus okozta övsömör is. (A hétköznapokban ismert klasszikus, úgynevezett visszatérő herpesz elsősorban a száj külső részén jelentkezik – például az ajkakon -, nem a szájpadláson).
Mivel a szánk rendkívül nagy igénybevételnek van kitéve a mindennapok során, ezért az ilyen sebesülések egyáltalán nem szokatlanok. Sajnos azonban elég lassan gyógyulnak, és a száj állandó és intenzív igénybevétele miatt igencsak kellemetlenek. Ráadásul könnyen fekélyesedést okozhatnak ezek a tünetek. Ezért a 2 hétnél tovább gyógyuló sebekkel mindenképpen forduljunk orvoshoz.
Mitől fehér vagy sárga a szájpadlásom? Mi az a leukoplakia?
A szájüreget fedő nyálkahártyán nem csak a már említett tünetek jelenhetnek meg. Előfordulhat, hogy sárgás, illetve fehér színű folt vagy foltok alakulnak ki rajta. Ezeknek sokféle kiváltó oka lehet, például bizonyos ételek, italok, fogkrémek, fogápolási szerek vagy más irritáló tényezők.
Szájüregben megjelenő fehér folt leukoplakia is lehet. Ez legtöbbször az orca belső felszínén, illetve a nyelven keletkezik, de előfordulhat a fogínyen, valamint a szájfenék nyálkahártyáján, sőt, akár a szájpadláson is. A leukoplakia egy olyan fehér folt, amit dörzsöléssel lehetetlen eltávolítani; szerencsére fájdalmat nem okoz. Fűszeres ételek, magas szénsav- vagy alkoholtartalmú italok fogyasztásakor azonban felléphet irritáció.
A leukoplakia kialakulásának okairól ismert, hogy a dohányzás és a krónikus alkoholfogyasztás is megnöveli a kockázatát, ahogy a krónikus fizikai irritáció is (például túlhordott fogsor okozta nyomás).
A leukoplakia általában nem rosszabbodik, ha az irritáló tényezőket kiiktatjuk, például a páciens abbahagyja a dohányzást, illetve az alkoholfogyasztást. Egyes esetekben azonban súlyosbodhat, akár rák is kialakulhat a talaján. Ennek elkerülésére nagyon fontos, hogy a megjelenésekor azonnal mutassuk meg egy szakorvosnak.
Elszíneződés: fehér nyelv, sárga nyelv

Nem csak a szájpadláson, a nyelven is kialakulhatnak különféle elszíneződések. A leggyakoribb elszíneződés színe fehér, ekkor fehér lepedék borítja a nyelvet.
Ennek számos oka lehet, leggyakrabban azonban a candida albicans nevű gomba okozza. Ezen kívül oka lehet még a rossz szájhigiéné, a dohányzás, a vitaminhiány, valamint krónikus betegségek, fertőzések, és az ezekből adódó legyengült állapot. (Egyébként a felsorolt okok majd’ mindegyike a gyenge immunrendszerre vezethető vissza.)
Ezen kívül belgyógyászati okai is lehetnek a lepedékes nyelvnek, például emésztőrendszeri problémák, belső működési zavarok. Megoldásként szóba jöhet az immunrendszer megerősítése megfelelő táplálkozással és életmóddal, illetve a szájhigiéné javítása. Amennyiben ez egy tartós probléma, mindenképpen keresse fel orvosát/fogorvosát!
A sárga nyelv is gyakori eset, ilyenkor a gyomorra, a hasnyálmirigyre, a lépre és a belekre gyanakodhatunk. Mivel ezek szervi problémák, mindenképpen érdemes szakorvoshoz fordulni.
Iratkozzon fel és értesüljön elsőként a legfrissebb blogposztokról:
Semmi spam, csak színtiszta szájhigiénia.
Dudor, duzzanat a szájpadláson
Ezek a problémák leggyakrabban a fogakhoz vagy a nyálmirigyekhez köthetőek. Látatlanban nagyon nehéz megállapítani, mi okozhatja a szájpadlásduzzanatot, nagyon tág a spektrum. Ezt remekül szemlélteti, hogy a duzzanat mögött állhat akár reflux is, ami kimarja a nyálkahártyát, de az egyik fog gyökércsúcsi gyulladása is oka lehet.
Kialakulhat göb, hólyag vagy afta is a szájpadláson. Az, hogy mi az oka a felsorolt tüneteknek, orvosi segítség nélkül nem lehet kideríteni. Ráadásul az említett panaszok akár gyulladáshoz is vezethetnek, ezért súlyosbodó tünetek esetén mindenképpen érdemes szakembert felkeresni. Sajnos a szájpadlás rákos megbetegedését sem lehet kizárni. Ez még inkább indokolja, hogy panaszunkkal egy felkészült szakorvoshoz forduljunk.
A szájpadlás gyulladása
Szájüregünk nem steril, ezért fokozottan ki van téve a különböző fertőzéseknek. A táplálékkal együtt a nem kívánt baktériumok, vírusok, gombák is bejutnak, amelyek gyulladást okozhatnak.
Nem csak a külvilágból érkező kórokozóktól alakulhat ki gyulladás a szájpadláson, de rosszul tisztított lemezes fogpótlás alatt a szájüregi flórában megtalálható candida albicans nevű gomba is képes nyálkahártya-gyulladást okozni. Ezt fogsor-sztomatitisznek nevezzük. A nyálkahártyán égő érzés tapasztalható, valamint a fogsor szájpadi lemezének a mintája tisztán kivehető lángvörös színben. Ezekkel a tünetekkel mindenképp forduljon fogorvosához.
A szájpadlás gyulladásának kezelése
A szájpadlásgyulladás elvileg otthon is kezelhető, kaphatóak például különféle ecsetelők, öblögetők (pl. Gengigel, Mundisal). Ám erre a betegségre is igaz, hogy orvosi segítség nélkül ne próbáljunk úrrá lenni rajta. Ha gyulladásba jön a szájpadlásunk vagy a szájüreg bármelyik része, mindenképpen keressünk fel egy felkészült szakorvost, aki rendelkezik a szükséges tudással és megfelelő eszközökkel a betegség kezeléséhez.
Ritkább szájpadlásbetegségek
Az olyan elváltozások gyógyításához, mint például a ciszta, göb, rák, vagy fog a szájpadláson már komolyabb felkészültségre van szükség. Ezeknél biztos, hogy orvosi beavatkozás, kezelés szükséges; ha kialakulnak, feltétlenül forduljunk velük orvoshoz.
Szakembert keres?
Amennyiben egy megbízható, professzionális fogorvosi csapatot szeretne maga körül tudni, Dr. Molnár Bálint és kollégái várják jelentkezését.
Ide kattintva léphet velünk kapcsolatba.
A szájpadlás betegségei – képek
Az egészséges szájpadlásért tenni kell. A legfontosabb, hogy rendszeres fogápolással, fogmosással alakítsuk ki és tartsuk fenn a megfelelő szájhigiénét. Ugyanilyen fontos, hogy rendszeresen, legalább félévente vegyünk részt fogorvosi ellenőrző vizsgálatokon.
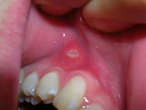
Következzen most néhány kép a szájüreg fentebb említett betegségeiről.
Afta


Herpesz

Leukoplakia

(A szájpadlás betegségeit ábrázoló képek forrása a Wikipédia.)
Szájpadlásfájdalommal küzd?
Amennyiben egy nagy szakmai tudással és tapasztalattal rendelkező, professzionális fogorvosi csapatot szeretne maga körül tudni, illetve egy olyan rendelőt keres, ahol a lehető legjobb kezelésben részesülhet, Dr. Molnár Bálint és kollégái várják jelentkezését.
Ide kattintva léphet velünk kapcsolatba.