Esetbemutatások
Tekintse meg a Dentpoint fogorvosi rendelő referencia munkáit!
Az Astra Tech, ICX és Straumann implantátumok referencia rendelője
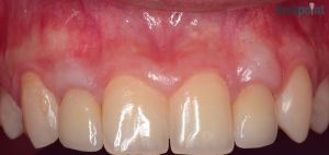
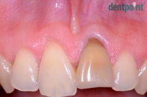
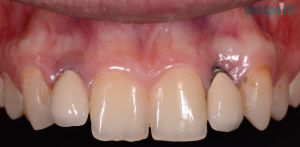
Fémmentes korona és ínyrecesszió fedés
Hölgy páciensünk metszőfogát fémmentes koronával tettük esztétikusabbá illetve visszahúzódott fogínyét ínyrecesszió fedéssel korrigáltuk.
Műtét, fogpótlások: Dr. Molnár Bálint

1) Kiindulási helyzet

2) Elszíneződött metszőfog

3) Ínyrecesszió fedése

4) Koronacsere
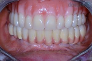
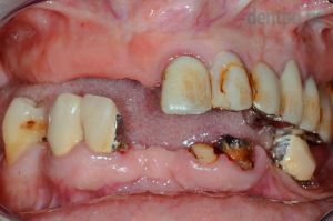
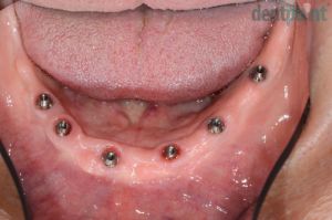
Implantációs hídpótlás
62 éves nő páciensünk előrehaladott fogszuvasodásokkal és csontpusztulással kereste fel rendelőnket. Sajnos ezek miatt egyik foga sem volt megtartható, így implantátumokra rögzített alsó körhíddal, ill. felső kivehető fogsorral pótoltuk hiányzó fogait. A fogeltávolításokat követően 6 héttel történt az implantáció és a csontpótlás. 6 hónap gyógyulást követően készültek el a végleges fogpótlások, azonban a csontosodás ideje alatt az implantátumokat azonnal terheltük, így a páciens rögtön a műtét után ideiglenes fogpótlásokkal távozhatott.
Implantáció: Dr. Molnár Bálint
Fogpótlások: Dr. Molnár Péter

1) Kiindulási helyzet

2) Gyógyult implantátumok

3) Elkészült hídpótlás

4) Esztétikus mosoly
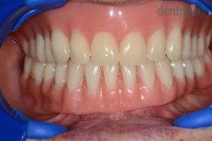
Kivehető implantációs fogpótlás
Implantátumokra rögzített, kivehető fogsor. Páciensünk arcprofilja javult, a rögzített fogsoroknak köszönhetően az ételek megrágása újból akadálytalan és hatékony!
Implantáció: Dr. Molnár Bálint
Fogpótlás: Dr. Molnár Péter

1) Kiindulási helyzet

2) Gyógyult implantátumok

3) Elkészült kivehető fogpótlás

4) Elégedett mosoly
Esztétikus fogtömés készítése
Savas refluxtól szenvedő páciensünk őrlőfoga sajnos erőteljes kopásnak indult, azonban kompozit tömőanyaggal sikerült tökéletesen helyreállítani a sérült fogat!
Fogtömés: Dr. Suskó Ivett

1) Rágófelszín kopása

2) Esztétikus fogtömés
Fogfehérítés
Páciensünk foga korábban gyökérkezelésen esett át, melynek következtében a fog idővel elszíneződött. Az alsó metszőfog színét fogfehérítéssel állítottuk helyre, így a fog újra harmonikusan illeszkedik a fogsorba.
Fogfehérítés: Dr. Suskó Ivett

1) Elszíneződött metszőfog

2) Fogfehérítés után
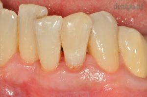
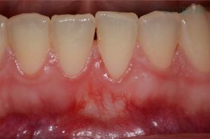
Ínyvisszahúzódás kezelése
Parodontológiai kezeléseink közé tartozik a visszahúzódott fogíny, más néven ínyrecesszió ellátása is. A fogíny a beavatkozást követően tökéletesen egészséges és ismét képes rá, hogy megvédje a fogat az esetleges károsodásoktól vagy a hideg-meleg ételek, italok okozta ingerektől!
Recessziófedés: Dr. Szvoboda Balázs

1) Kiindulási helyzet

2) Ínyrecesszió fedése
Iratkozzon fel és értesüljön elsőként a legfrissebb blogposztokról:
Semmi spam, csak színtiszta szájhigiénia.
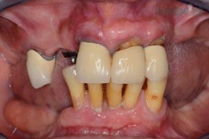
Régi implantátumok cseréje, fémmentes koronák felhelyezése
Fiatal hölgy páciensünk a 10 évvel ezelőtt behelyezett implantátumainak csontpusztulása és ínyének visszahúzódása miatt keresett fel minket. A régi implantátumok eltávolítását követően újakat helyeztünk be, és ínyplasztikai kezeléssel, valamint cirkónium egyéni implantátum fejekre készített e.max fémmentes kerámia koronákkal adtuk vissza páciensünk elégedett mosolyát.
Implantáció, fogpótlások: Dr. Molnár Bálint

1) Kiindulási helyzet

2) Implantátumok és koronák cseréje után

1) Kiindulási helyzet röntgenfelvétel

2) Implantátumcsere utáni röntgenfelvétel
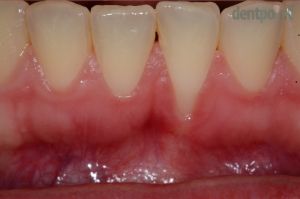
Többszörös ínyvisszahúzódás kezelése
Páciensünk felső szemfogáról erősen visszahúzódott a fogíny, melynek következtében a fognyak szabaddá vált, ami fogérzékenységhez, fognyaki kopáshoz-, és szuvasodáshoz vezethet. Dr. Molnár Bálint parodontológus szakorvos ínyplasztika segítségével állította helyre a visszahúzódott fogínyt.
Recessziófedés: Dr. Molnár Bálint

1) Kiindulási helyzet

2) Többszörös ínyvisszahúzódás kezelése után
Jelentkezzen be vizsgálatra!
Pácienseink véleménye

Rátonyi Kriszta - televíziós műsorvezető
“Műsorvezetőként a mosolyom a munkaeszközöm, ezért nagyon fontos a fogaim szépsége. Minden alkalommal biztonságban érzem magam, amikor beülök A Dentpoint rendelőben a fogorvosi székbe. Kivételes, amikor a hozzáértés és az empátia egyszerre van ilyen magas szinten jelen, de Dr. Molnár Bálint és csapata bebizonyította, hogy ez lehetséges.”

Széll Tamás - mesterszakács
“A kiváló ételek elkészítése csak a receptek pontos alkalmazásával, nagy odafigyeléssel lehetséges. A Dentpointnál pontosan azt a magas szintű szakmaiságot és figyelmet tapasztaltam, amit én is megkövetelek a gasztronómiában. Számomra egyértelmű, hogy ha fogorvosi kezelésről van szó, Dr. Molnár Bálintot és a Dentpoint csapatát választom.”
Bejelentkezés fogászati vizsgálatra
Ha rendelőnk felkeltette az érdeklődését, lépjen velünk kapcsolatba!
Hat meggyőző érv a Dentpoint Fogászati, Implantológiai és Parondontológiai Centrum mellett:
- Barátságos, nyugodt környezetben várjuk;
- Fogorvosaink felkészültek pácienseink teljeskörű kezelésére, rendszeresen részt vesznek hazai és nemzetközi továbbképzéseken;
- Munkánk legfőbb célja a hosszú távú, minőségi eredmény;
- Orvosaink és asszisztenseink számára is alapvető az empatikus hozzáállás, amelynek a páciens van a fókuszában;
- Munkáinkra garanciát vállalunk;
- Számunkra kiemelten fontos az Ön elégedettsége.
Forduljon hozzánk bizalommal!
Írjon nekünk
Bejelentkezés
+36 30 257 6088
+36 1 365 6674
Rendelő
1114 Budapest, Fehérvári út 7. I. em. 3.
Nyitvatartás
H, K, CS: 14-20:00
SZE: 8-20:00
info@dentpoint.hu
fb.com/dentpoint.hu