Parodontológia: a fogínysorvadás kezelése
Ha fogkőeltávolításra van szüksége, visszahúzódott ínyét kezeltetné vagy fogágybetegségben szenved, keresse fel Budapest egyik legmagasabb színvonalú ellátást nyújtó parodontológiai centrumát!
Az Astra Tech, ICX és Straumann implantátumok referencia rendelője
Parodontológia
A fogágybetegség kialakulása, tünetei
A fogágybetegséget súlyosbító tényezők
Gyakori kérdések a fogínysorvadással kapcsolatban
Milyen esetben ajánlott fogágybetegség gyanújával orvoshoz fordulni?
Előkészítő eljárások
Gyakori kérdések a fogkő-eltávolítással kapcsolatban
Milyen esetekben ajánlott a fogkőleszedés?
Csontpótló műtétek
Gyakori kérdések a csontpótló parodontális regeneratív kezelésekkel kapcsolatban
Ínyplasztika – esztétikai ínyműtétek
Gyakori kérdések az ínyplasztikai kezelésekkel kapcsolatban
Milyen esetben ajánlott igénybe venni az ínyplasztikai beavatkozásokat?
Fenntartó kezelések – az ínygyulladás kezelése és megelőzése
A szájhigiéné fontossága
A Dentpoint Fogászati, Implantológiai és Parodontológiai Centrumban minden azt a célt szolgálja, hogy ön a legmagasabb szintű implantológiai és parodontológiai ellátásban részesüljön. A parodontológiai kezelések magas fokú elméleti és gyakorlati tudást, valamint a legmodernebb eljárások alkalmazását feltételezik, legyen szó ultrahangos ínytisztításról, fogkőeltávolításról, a fogágybetegség kezeléséről, csontpótló beavatkozásokról vagy ínyplasztikai műtétekről. Rendelőnkben minden szükséges feltétel adott, amely garantálja, hogy ön a legmegfelelőbb kezelésben részesüljön.
A fogágybetegség kialakulása, tünetei
Bakteriális fertőzés okozza
Első jele lehet az ínyvérzés és a fogkőképződés
Kezelés nélkül a csont is begyullad és a fogak meglazulnak
A fogágybetegség – közismert nevén fogínysorvadás, orvosi szakszóval parodontitis – a fogat körülvevő szövetek gyulladása, amit baktériumok okoznak. A parodontitist az öröklődő immunrendszeri fogékonyság mellett a száj baktériumflórájának megváltozott összetétele, bizonyos agresszív kórokozó fajok felszaporodása okozza. Ezek forrása a lerakódó lepedék és a fogkő, ami a nem megfelelő fogmosási technika, illetve a plakk eltávolítását megnehezítő, elálló tömés- és koronaszélek miatt alakul ki.
A fogínysorvadás első jelei közé tartozik a fokozott fogkőképződés, az ínyvérzés, valamint a kellemetlen lehelet. A betegség kezdetén ínygyulladás alakul ki: az íny vörössé válik, megduzzad és erősebb nyomásra vagy akár fogmosás közben vérezni kezd. Amennyiben az ínygyulladást nem ismerik fel és nem kezelik időben, a gyulladás súlyosbodik és fogágybetegséggé alakul. Ilyenkor a fellazult íny és a fog felszíne között egy fokozatosan mélyülő rés, úgynevezett tasak alakul ki.
A kialakult tasakok idővel mélyebbé válnak, ezért egyre nehezebbé válik a tisztításuk. Minél inkább előrehalad ez a folyamat, annál agresszívabb baktériumok szaporodnak el az íny alatti oxigénszegény környezetben. Mindez a tartószövetek pusztulásához, bizonyos idő után pedig a fogak meglazulásához, végül elvesztésükhöz vezet. A betegség további velejárója a fogak elvándorlása, melynek oka, hogy a gyulladás miatt meggyengült csont nem képes ellenállni a rágóerőknek.
A fogágybetegséget súlyosbító tényezők
ROSSZ SZÁJHIGIÉNÉ
A megfelelő technikával, gyakorisággal, eszközökkel végzett szájápolás szerepe jelentős
A szájüregben található baktériumflóra felnőttkorra teljesen kialakul, az összetétele már nem változik. A kórokozók mennyisége azonban helyesen végzett fog- és ínytisztítással jelentősen csökkenthető. Ehhez azonban elengedhetetlen, hogy a páciens pontosan kövesse a fogorvosától kapott szájápolási tanácsokat. A megfelelő otthoni szájhigiéné kialakítása és fenntartása nélkül a legszakszerűbben elvégzett kezelés sem lehet 100 százalékosan sikeres. Olyannyira, hogy a szájhigiénia elhanyagolásával a teljes gyógyulás után is visszatérhet a betegség.
DOHÁNYZÁS
A dohányfüst károsítja az íny vérkeringését
A dohányzás gátolja az immunrendszeri védekezést
A dohányfüstben jelen lévő forró, toxikus anyagok csökkentik a szájüregi immunválasznak, vagyis az immunrendszer védekezőképességének hatékonyságát. Ennek egyik oka, hogy ezek az anyagok gátolják a baktériumok elleni közvetlen védekezésben részt vevő fehérvérsejtek működését. Ráadásul a dohányfüst egyes összetevői károsítják az íny keringését is. Ez azt jelenti, hogy az íny hajszálereinek tartós összehúzódása miatt az immunrendszer védekező sejtjei nem képesek megfelelő mennyiségben eljutni a fertőzés területére. Az említett tényezők miatt a betegséget gyakorlatilag lehetetlen időben felismerni, mivel a gyulladásra utaló figyelmeztető jelek (például az íny duzzanata, vérzése) még súlyos csontpusztulás esetén is alig észrevehetőek.
ÖRÖKLETES TÉNYEZŐK
Csökkent immunrendszeri védekezés
A szájüregi baktáriumok családi környezet által kialakított összetétele
A fogágybetegség kialakulásában meghatározó szerepe van az immunrendszer védekezőképességének. Az immunrendszer működését hátráltató örökletes tényezők ugyanis csökkentik a baktériumok elleni védekezés hatékonyságát. Ugyanezt eredményezi, amikor egyes kulcsfontosságú fehérjék működése megváltozik.
A szó szoros értelmében nem örökletes tényező, de fontos, hogy a száj baktérium-összetételét nagyrészt a családi környezet befolyásolja. Az újszülöttek steril szájüreggel jönnek a világra, majd a közvetlen környezetükből bejutó mikroorganizmusok alakítják ki végleges szájflórájukat. A csecsemő gyakran érintkezhet a szülő nyálával – például amikor az anyukája a saját szájába veszi a kanalat, amivel eteti. Ez pedig elég ahhoz, hogy a szülő továbbadja gyermekének a szájában esetleg megtalálható, fogágybetegséget okozó baktériumokat.
HORMONÁLIS VÁLTOZÁSOK
Serdülőkorban és várandósság idején fokozódhatnak a gyulladásos tünetek
A fennálló fertőzés tüneteit és a szövetpusztulást egyaránt felerősítheti, ha megváltozik vagy felborul a hormonháztartás egyensúlya. Amikor ez az érzékeny egyensúly felborul, megnő a hajszálerek véráteresztő képessége, és az immunrendszer védekezése közben több szövetkárosító anyag termelődik. A fogágybetegséget súlyosbító hormonális változások leggyakrabban serdülőkorban, terhesség alatt, illetve bizonyos, a hormonrendszert érintő betegségek során jelentkeznek.
A SZERVEZETRE HATÓ TOVÁBBI TÉNYEZŐK
A cukorbetegség és az immunhiányos állapotok jelentősége
A fogágybetegséget súlyosbító legfontosabb tényező a cukorbetegség. Amennyiben nem kezelik megfelelően, ennek a betegségnek súlyos csontpusztulás és fogvesztés lehet a következménye. Ez még akkor is igaz, ha a páciens szájhigiéniája egyébként kiváló, és semmilyen más rizikófaktor nincs jelen.
A kezeletlen cukorbetegség azért ilyen veszélyes, mert a betegség közben kialakuló tartós változások megakadályozzák, hogy az immunrendszer megfelelő választ adjon a kórokozók támadására. Minden egyéb immunválaszt gátló tényező (például HIV-fertőzés; súlyos, hosszan tartó betegségek következtében, illetve gyógyszerszedés miatt kialakult immunhiányos állapot) hasonló hatással lehet a fogat körülvevő szövetekre.
GYÓGYSZERSZEDÉS
Egyes gyógyszerek szedése ínyduzzanatot okozhat
Bizonyos csontritkulásra szedett gyógyszerek hátráltathatják a sebgyógyulást
Bizonyos gyógyszerfajták módosíthatják a fogágybetegséget okozó bakteriális fertőzés tüneteit és lefolyását. Ez természetesen nem jelenti azt, hogy ezek miatt a gyógyszerek miatt alakul ki a betegség: a fertőzés fő oka ilyenkor is a bakteriális lepedék jelenléte.
A parodontitist súlyosbítják például bizonyos, az epilepszia kezelésére alkalmazott szerek, az úgynevezett hydantoin-származékok. Ezek hatására az íny megduzzadhat, a gyulladásos jelek felerősödnek. Az íny ilyenkor akár porckemény tapintatú is lehet, de általában nem vérzik. Fogínyvérzés csak akkor jelentkezik, ha az íny túlburjánzása már a fogmosást is akadályozza, és a fogkefe felsérti az ínyt.
A fogágybetegséget ugyancsak károsan befolyásolják az úgynevezett kálciumcsatorna-blokkoló vérnyomáscsökkentők. Ezek szedésekor gyulladásos ínymegnagyobbodás és erős ínyvérzés alakulhat ki.
Szervátültetésen átesett páciensek a kilökődés elkerülésére Cyclosporin immunszupresszív kezelésben részesülnek, ami szintén gyulladásos ínymegnagyobbodáshoz vezethet.
A tartós, nagy dózisú szteroidterápia, illetve a csontritkulás és a daganatos kezelések során alkalmazott biszfoszfonát-kezelés is súlyos sebgyógyulási zavarokat okozhat. Ilyenkor a sebészeti beavatkozások (akár egy egyszerű foghúzás) után is elhúzódó és problémás lehet a sebgyógyulás.
Iratkozzon fel és értesüljön elsőként a legfrissebb blogposztokról:
Semmi spam, csak színtiszta szájhigiénia.
Gyakori kérdések a fogínysorvadással kapcsolatban
Vérzik az ínyem, mi lehet az oka?
Ez a tünet az ínygyulladás jele lehet, amit a fogágybetegség előszobájának is nevezhetünk. A fogínyvérzéssel minél előbb érdemes fogorvoshoz fordulni, mert még ha fájdalommentes is, súlyos fogágybetegségre utalhat.
A fogínysorvadás okozhat rossz szájszagot?
A fogágybetegség egyik jele lehet a kellemetlen lehelet. Ezt a betegség során a fog és az íny között keletkező tasakokban, az oxigéntől elzárva felszaporodó kórokozó baktériumok, illetve az elhaló szövetek okozzák. Ha a kellemetlen szájszag tartósan fennáll, minél előbb keressünk fel egy fogorvost.
Megállítható a fogínysorvadás?
A fogágybetegség megállítható. Ehhez szükség van a rendelőben elvégzett fogkőleszedésre, illetve ultrahangos íny alatti tasaktisztító kezelésekre, súlyosabb esetben tasakműtétekre is. A sikeres terápia után a fogkőleszedést és az ultrahangos tisztítást rendszeresen ismételni kell, ennek érdekében fontos az előírt utókezeléseken a megjelenés. Ugyanilyen fontos a megfelelő technikával naponta többször végzett otthoni fogtisztítás és a dohányzás mellőzése.
Visszafordítható a fogínysorvadás?
Sajnos csak részben, mert az elpusztult csontszövet már nem rekonstruálható, sosem építhető vissza teljesen. A megfelelő terápiával, súlyosabb esetben a csontpótlással ugyanakkor hatékonyan kezelhető, részben regenerálható és szinten tartható a fogágy állapota. Az igazi és leginkább hatékony “ellenszere” azonban a megelőzés. Ez a gyakorlatban az alapos, szakszerű és rendszeres fogmosást, illetve a rendszeres fogorvosi ellenőrző vizsgálatokon való részvételt jelenti.
Meddig halogatható a fogágybetegség kezelése?
A modern implantációs eljárások ismeretében vannak, akik úgy gondolkodnak, hogy az sem végzetes tragédia, ha több fogukat is elvesztik. Hiszen fogbeültetéssel majd pótolják a hiányzó fogaikat. Ez azonban nem ilyen egyszerű, mert a betegség során a fogakat tartó csontszövet is elhal. Ahhoz tehát, hogy az implantáció sikeres legyen, komoly műtéti beavatkozással kell ezt pótolni, amelynek gyógyulási ideje akár több, mint fél év is lehet. Ráadásul az ínyt is pótolni kell, ami összességében akár 3-4 műtéti beavatkozást és akár 1-2 éves időtartamot is jelenthet. A fogágybetegséggel tehát minél előbb érdemes orvoshoz fordulni.
A fogínysorvadást lehet otthon kezelni?
A fogágybetegség kezelése házilag sajnos nem megoldható. Az ínygyulladás ellen ugyan bevethetünk kamillateás, sós vizes öblögetést, de ennek hatékonysága kérdéses, a fogágybetegségen pedig biztosan nem fog segíteni. Mindenképpen keressünk fel egy jól felszerelt rendelőt, egy felkészült fogszakorvost.
A fogínysorvadás gyógyítható, lehet rajta segíteni?
Meggyógyítani sajnos véglegesen nem lehet, mert a betegséget okozó baktériumok a sikeres kezelés után is ott maradnak a szájban. Viszont ezeknek a kórokozóknak a száma megfelelő terápiával leszorítható egy olyan, alacsony szintre, ami által a fogászati kezelésekkel elért, gyógyult állapot fenntartható. Ennek feltétele a helyes fogápolással kialakított otthoni szájhigiénia megőrzése, és az utólagos fogkő-eltávolító, ínytisztító vizsgálatokon való megjelenés, valamint a dohányzás mellőzése. Amennyiben a fogágybetegség csontelhalást eredményezett, a megfelelő kezelésekkel az is orvosolható. Fogvesztés esetén fogimplantátumokkal lehet pótolni az elveszett fogat vagy fogakat.
Milyen esetben ajánlott fogágybetegség gyanújával orvoshoz fordulni?
tartósan kellemetlen lehelet
fogmosás közben vérző fogíny
megduzzadt, érzékeny, vörös íny
visszahúzódik az íny a fogról
a fogíny elválik a fogtól
a fogak között rés alakul ki
a fog elvándorol a helyéről
a fog meglazul, mozog
Jelentkezzen be vizsgálatra!
Előkészítő eljárások
A teljes körű parodontális kezelést akkor lehet elkezdeni, ha megtörtént a fogágybetegséget kiváltó kórokozók, általános betegségek, szerzett vagy öröklött állapotok, hajlamosító tényezők feltérképezése. Csak a fenti tényezők ismeretében lehetséges személyre szabott kezelési terv kialakítása, ami elengedhetetlen a sikeres terápiához.
PROFESSZIONÁLIS ULTRAHANGOS ÍNYTISZTÍTÁS, FOGKŐLESZEDÉS
A kezelés első lépése az íny feletti baktériumok (lepedék, fogkő) eltávolítása ultrahangos eszközökkel – ehhez 2-3 kezelésre is szükség lehet. Ugyanilyen fontos a hatékony otthoni szájápolás elsajátítása a rendelőben kapott, személyre szóló tanácsadás segítségével.
Gyakori kérdések a fogkő-eltávolítással kapcsolatban
Honnan lehet tudni, hogy valakinek fogköve van?
Bár a fogkő szabad szemmel is látható az íny széle felett, előfordulhat, hogy mégsem olyan könnyű felfedezni. Megjelenhet például a fogak belső oldalán, de akár az ínyszél alatt is megbújhat. Így lehetséges, hogy annak ellenére, hogy nem szembetűnő, mégis előrehaladott fogkövesség alakul ki. Ezért érdemes kérni egy rendelőben elvégzett vizsgálatot, amelynek során minden kétséget kizáróan megtudhatjuk, van-e fogkövünk, és ha igen, milyen mértékű az érintettség.
A fogkő-eltávolítás házilag lehetséges?
Bár az interneten rengeteg különféle otthoni módszer kering, a fogkő eltávolítása nem lehetséges házilag. Ennek oka, hogy – mint a neve is mutatja – kőkemény, megkövesedett anyagot sem a sós, sem a szódabikarbónás sikálás, sem egyéb házilag alkalmazott “praktika” nem képes feloldani. Az ilyen anyagok alkalmazásával csak azt érhetjük el, hogy a fogzománcot károsítjuk, de a fogkő állapotát érdemben nem befolyásolják. Még a fogkő elleni fogkrémek sem hoznak látható eredményt, inkább megelőzésre jók.
Fáj a fogkő leszedése?
A fogkő eltávolítását egy modern, ultrahangos eszközzel végzik, amelynek az intenzitása is állítható. Ennek köszönhetően a fogkő eltávolítása a legkevesebb kellemetlenséggel járó kezelések közé tartozik, általában teljesen fájdalommentes, vagy csak enyhe kellemetlenséget okoz. Amennyiben a páciens mégis érez fájdalmat, az eszköz beállításával ez kiküszöbölhető, végső esetben pedig helyi érzéstelenítésre is van lehetőség.
Mennyibe kerül a fogkő eltávolítása?
Az egyes kezelések árairól itt olvashat részletesen. Ugyanakkor azt, hogy egy páciens esetében pontosan milyen, illetve mennyi kezelésre van szükség, mindig személyre szabottan állapítjuk meg, és ennek megfelelően készítjük el az adott páciens számára kialakított kezelési tervet.
Milyen esetekben ajánlott a fogkőleszedés?
rossz lehelet, kellemetlen szájszag esetén
ínygyulladás esetén
fogágybetegség kezelése előtt
egyéb szájsebészeti beavatkozások előtt
ÉRZÉSTELENÍTÉSBEN VÉGZETT KÉZI ÉS ULTRAHANGOS ÍNY ALATTI TASAKTISZTÍTÁS
Az íny feletti ultrahangos tisztítást helyi érzéstelenítésben végzett tasakkürettek, gyökérsimítások követik. Ennél a „mélytisztításnál” a parodontológus a fogíny alatt dolgozik. Speciális kézi és ultrahangos gépi eszközökkel lesimítja a gyökérfelszíneket, és amennyire csak lehet, maradéktalanul eltávolítja a fertőzött fogkövet, valamint a gyulladásos szöveteket.
VÁRHATÓ GYÓGYULÁS, TOVÁBBI KEZELÉSEK
Ezután általában egy 2-3 hónapos időszak következik. Ez idő alatt a teljesen kitisztítható, nem túlzottan előrehaladott állapotú tasakok meggyógyulhatnak, a gyulladás megszűnhet. Ilyen esetekben a fogak megfelelő és alapos otthoni tisztításával, jó szájhigiénével és a rendelőben végzett fenntartó kezelésekkel a gyógyult, egészséges állapot tartósan fennmarad.
Ha viszont a kezdeti tasakok túl mélyek voltak, és a kezelés előtt súlyos csontpusztulás alakult ki, további műtéti beavatkozásokra lehet szükség.
Jelentkezzen be vizsgálatra!
Csontpótló műtétek
Helyi érzéstelenítésben végezhetőek
Segítségükkel a fogak körül elpusztult csont visszaépíthető
Így a meglazult fogak újból rögzülhetnek, gyulladásuk megszüntethető
A MŰTÉTI BEAVATKOZÁS MENETE
Amennyiben a fogak körül kialakult parodontális szövetpusztulás előrehaladott, a tasaktisztítás után sem szűnik meg a gyulladás, és a fogak nem stabilizálódnak, műtéti beavatkozásra lehet szükség. Rendelőnkben többféle parodontális műtétet végzünk, a legkorszerűbb csontpótló, regeneratív anyagok felhasználásával.
A tasakműtétek során a fogakat körülvevő ínyt kismértékben el kell emelni a foggyökerektől – természetesen ezeket a beavatkozásokat is steril körülmények között, helyi érzéstelenítésben végezzük. Ezek után a tasakkürettekhez hasonló gyökérsimítás, a gyulladásos szövetek teljes eltávolítása történik.
CSONTPÓTLÓ PARODONTÁLIS REGENERATÍV KEZELÉSEK
Amennyiben a fogak körül megtisztított ép csontban úgynevezett csontkráterek (vertikális csontdefektusok) találhatóak, ezeket regeneratív anyagokkal kezelhetjük. A szövetregenerációhoz csontpótló anyagok és membránok, illetve csontosodást serkentő speciális fehérjekivonatok is használhatóak. Ezután az ínyt eredeti helyzetébe fektetjük vissza, és mikrosebészeti varróanyagokal zárjuk le a sebet. A varratokat 7-10 nappal később vesszük ki, ekkorra az íny összeforr. A regeneratív kezelést követő csontosodás körülbelül 6 hónap alatt zajlik le. Ideális esetben a folyamat végére a tasakok gyulladása megszűnik, a mozgó fogak pedig megerősödnek.
Ahhoz, hogy a Dentpoint Fogászati, Implantológiai és Parodontológiai Centrumban elvégzett magas szintű regeneratív kezelések eredménye tartós legyen, elengedhetetlen a megfelelő szájhigiéné és rendszeres fenntartó kezelések elvégzése. További feltétel a dohányzás mellőzése, mivel – ahogyan már említettük – ez jelentősen rontja a csontpótló műtétek hatékonyságát, és hátráltatja a sebgyógyulást
ÍNYTASAKOK CSÖKKENTÉSE
Amennyiben a műtéti tisztítás után az ép csont csontkráterektől mentes (horizontális), egyenletes lefutást mutat, nincs lehetőség csontpótló kezelésre. Ilyenkor a gyógyulási folyamat velejárója az íny kismértékű visszahúzódása.
Ennek oka, hogy a korábban gyulladt, duzzadt íny visszanyeri eredeti vastagságát, és követi az alatta található csont alakját. A további csontpusztulást ilyenkor is meg lehet állítani, és megfelelő szájhigiénével, rendszeres fenntartó kezelésekkel a sikeres műtéti eredmény akár évtizedeken keresztül megőrizhető.
Gyakori kérdések a csontpótló parodontális regeneratív kezelésekkel kapcsolatban
Honnan tudhatom, hogy csontpótló kezelésre van szükségem?
Amennyiben a csontszövet pusztulása olyan fokú, hogy a fog tartószerkezete jelentősen meggyengül, szükséges a csontpótló műtét. Arra, hogy indokolt-e a csontóptló műtéti beavatkozás, csak rendelőben végzett műszeres vizsgálatok elvégzése után tud választ adni a kezelést végző fogorvos.
Mennyire fájdalmas a csontpótló kezelés?
A csontpótló műtéteket helyi érzéstelenítésben végezzük, ami garantálja, hogy a páciens közben egyáltalán nem érez fájdalmat. A beavatkozást követően, miután az érzéstelenítő hatása elmúlik, jelentkezhet fájdalom, ami a kezelőorvos által felírt gyógyszerekkel csillapítható.
Mennyi ideig tart a gyógyulás egy csontpótló műtét után?
A kezelés jellegétől, illetve a beavatkozás mértékétől függően 6-9 hónap gyógyulási idővel kell számolni. Ennyi idő szükséges ahhoz, hogy a beültetett csontállomány kellően megerősödjön ahhoz, hogy a kezelt fog megtarthatóvá váljon.
Előfordulhat, hogy a szervezetem nem fogadja be a csontpótlást?
Elméletileg igen, gyakorlatilag nagyon ritkák a sikertelen beavatkozások. Ennek oka, hogy a leggyakrabban a csontpótló anyag mellett helyileg gyűjtött saját csontszövetet, vagy szövet regeneratív anyagokat is alkalmazunk. Ha erre valamiért nincs lehetőség, tisztán állati csont eredetű csontpótló anyagot használunk. A saját csont értelemszerűen gond nélkül átépül, a többi, ma elterjedt, modern csontpótló anyag pedig teljes mértékben testbarát és hatékonyan beépül az emberi szervezetbe, miközben támogatja és elősegíti a természetes csontképződést.
Mennyibe kerül a fogak mellett végzett csontpótlás?
Az egyes kezelések árairól ide kattintva olvashat részletesen. Ugyanakkor azt, hogy egy páciens esetében pontosan milyen, illetve mennyi kezelésre van szükség, mindig személyre szabottan állapítjuk meg, és ennek megfelelően készítjük el az adott páciens számára kialakított kezelési tervet.
Jelentkezzen be vizsgálatra!
Ínyplasztika – esztétikai ínyműtétek
A szabaddá vált, érzékeny foggyökerek ismét ínnyel fedhetőek
Helyi érzéstelenítésben végezhető beavatkozások
Az eredmény tartós, jelentős esztétikai javulással jár
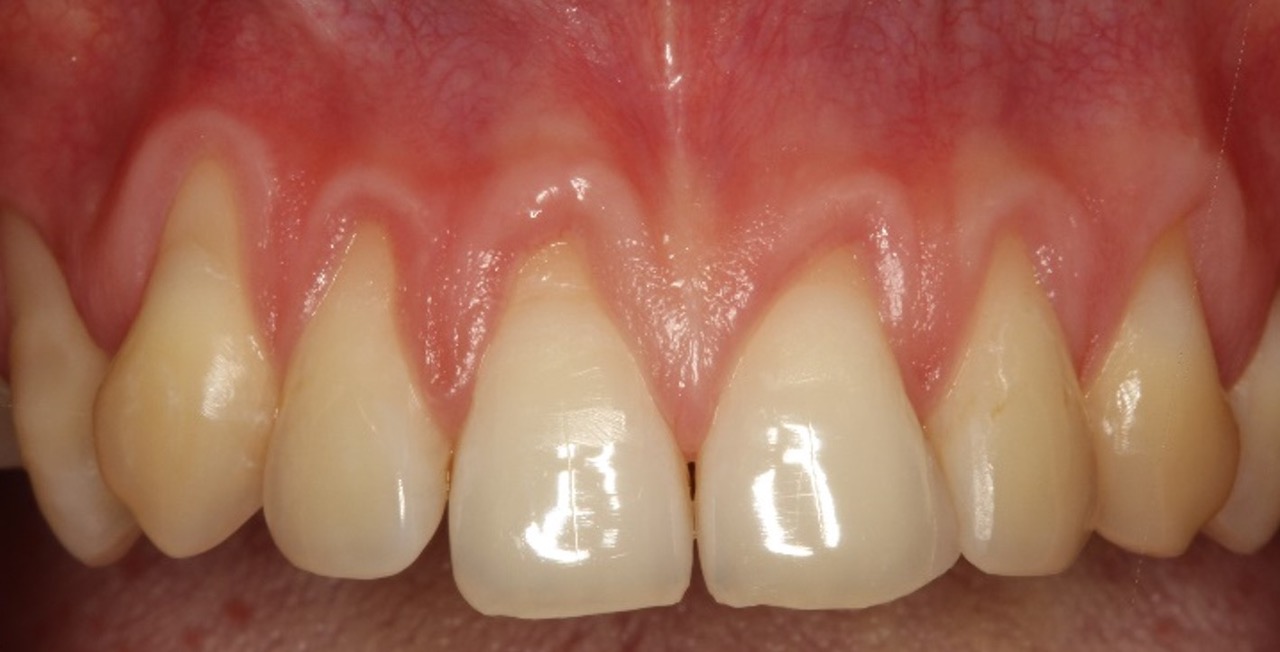
AZ ÍNYVISSZAHÚZÓDÁSRÓL
Az íny visszahúzódása olyan panasz, ami sokakat sújt, és kapcsolódik hozzá egy gyakori félelem: a fogak elvesztése. Az ínyvisszahúzódás oka lehet a helytelen technikával, túl erősen végzett fogmosás, illetve az íny átlagosnál vékonyabb, sérülékenyebb felépítése. De okozhatja a fogak rendellenes, az ideális fogívből kifelé dőlő helyzete is. Ínyvisszahúzódáskor a fogak túlságosan hosszúnak tűnhetnek, és a szabaddá vált gyökérfelszínek érzékennyé válhatnak számos külső ingerre (például: hideg, meleg, édes, savanyú stb.)
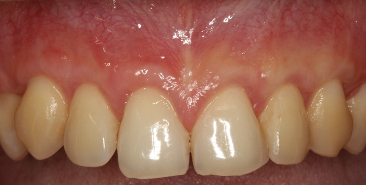
Rendelőnkben megoldást kínálunk erre a sokak életét megkeserítő, korábban kezelhetetlennek hitt problémára. Az ínyvisszahúzódás sikeresen kezelhető a legújabb tudományos eredményeken alapuló ínyplasztikai beavatkozásokkal. A szabaddá vált gyökérfelszíneket ismét befedheti az íny – erre a szakszerűen elvégzett ínyplasztikai műtétek adnak lehetőséget. Ennek azonban elengedhetetlen feltétele a tökéletes szájhigiéné fenntartása és a dohányzás mellőzése.
KEZELÉSI LEHETŐSÉGEK
Az ínyvisszahúzódás csak műtéti korrekcióval kezelhető, és a beavatkozás kimenetelét nagyban meghatározza a fogak körül található csont állapota. Amennyiben az íny alatt található csont teljesen ép, vagy csak kismértékben károsodott, a szabaddá vált gyökérfelszínek akár teljes mértékben, 100%-osan befedhetőek. Ha a fogakat körülvevő csont leépülése nagyobb mértékű, a gyökérfelszín csak részlegesen fedhető be – az esztétikai javulás azonban ekkor is szembetűnő. Az íny megvastagodása miatt a kialakult állapot ilyenkor is stabilizálódik, és megfelelő gondozással hosszú távon fenntartható.
A MŰTÉTI BEAVATKOZÁSOK MENETE
Az ínyvisszahúzódás többféle sebészi eljárással is korrigálható. Rendelőnkben a páciens egyéni adottságainak leginkább megfelelő technikát választjuk ki, ami a legtökéletesebb esztétikai korrekciót eredményezi.
Általánosságban elmondható, hogy minden ínyplasztikai műtét helyi érzéstelenítésben történik, a gyógyulás és az utópanaszok mértéke hasonló a parodontális tasakműtéteknél leírtakhoz. A beavatkozások hosszú távú sikeréhez szükség lehet a visszahúzódott területtel szomszédos vékony íny megvastagítására is. Ez azért fontos, mert a szabaddá vált gyökérfelszín fedése csak akkor lehet tartós, ha az eredendően vékony ínyszövetet is ellenállóbbá tesszük a külső hatásokkal szemben.
AZ ELVÉKONYODOTT ÍNY MEGVASTAGÍTÁSA
Az ínyszövet megvastagítható a szájban másutt bőségesen rendelkezésre álló, kötőszövetben gazdag ínyszövet átültetésével (általában a szájpadlás, vagy a felső bölcsességfogak területéről). A másik lehetőség a korszerű lágyrészpótló anyagok használata. Ezek a szintetikus, illetve állati eredetű, felszívódó kollagénmátrixok mindig rendelkezésre állnak a rendelőnkben, megkönnyítve ezzel pácienseink döntését. Az íny alá behelyezett kollagénmátrixok néhány hónap alatt átépülnek, majd a szervezet új, az eredetinél vastagabb kötőszövetet képez a kezelt területen. Nagy előnyük, hogy felhasználásukkal a műtéti beavatkozás ideje csökkenthető. Ráadásul, mivel nincs szükség saját szövet eltávolítására, így az utópanaszok is enyhébbek.
Gyakori kérdések az ínyplasztikai kezelésekkel kapcsolatban
A fogamon visszahúzódott az íny, ez azt jelenti, hogy ki fog esni?
Az íny visszahúzódása nem feltétlenül vezet fogvesztéshez; a fogvesztést a súlyos, előrehaladott állapotú fogágybetegség következtében kialakuló csontelhalás okozza. Az ínyvisszahúzódás oka a nem megfelelően (túl erősen) végzett fogmosás, illetve az, hogy az ideális fogívhez képest a fogak kifelé dőlnek.
Mi az az ínykorrekció?
Ínyplasztikai műtét, ínyrecesszió fedés, amely során az íny visszahúzódása miatt szabaddá vált foggyökér-felszíneket befedik, így korrigálva az eredeti állapotot.
A fogamnak az a része is látható, amit korábban eltakart az ínyem. Vissza lehet az ínyt állítani, hogy újból takarja a fogam?
Ínyplasztikai beavatkozással, ínykorrekciós műtéttel lehetséges, hogy az eredeti állapot visszaállítható. Ennek feltétele a tökéletes szájhigiénia, illetve a dohányzás mellőzése. Az, hogy a korrekció mennyire képes visszaállítani az eredeti állapotot, attól függ, hogy az íny alatti csontállomány mennyire ép. Minél inkább leépült, annál kevésbé lesz teljes a korrekció, az esztétikai javulás azonban ilyenkor is szembetűnő.
Mennyire fájdalmas az ínyplasztika?
Mivel a beavatkozás helyi érzéstelenítésben történik, így teljesen fájdalommentes.
Mennyi ideig tart a gyógyulás egy ínyplasztikai műtét után?
Az esetek többségében 2 hetes gyógyulási időre kell számítani, a végleges eredmény kialakulásához 3-6 hónap szükséges.
Mennyibe kerül az ínyplasztikai műtét?
A kezelések árairól itt tájékozódhat részletesen. Ugyanakkor az, hogy egy páciens esetében pontosan milyen, illetve mennyi kezelésre van szükség, mindig személyre szabottan állapítjuk meg, és ennek megfelelően készítjük el az adott páciens számára kialakított kezelési tervet.
Milyen esetben ajánlott igénybe venni az ínyplasztikai beavatkozásokat?
ha az íny visszahúzódott a fogról, és szabaddá, illetve érzékennyé vált a fedetlen foggyökérrész
ha az ínyvisszahúzódás nem okoz panaszt, akkor is komoly esztétikai problémát jelenthet a frontfogak esetében
fordított esetben az is gond lehet, ha az íny ránő a frontfogakra (ez az úgynevezett ínymosoly)
Fenntartó kezelések – az ínygyulladás kezelése és megelőzése
Az előírt rutinszerű, 3-6 havonta sorra kerülő ínytisztítások elengedhetetlenek a gyulladásmentes állapot megőrzéséhez
A teljes körű parodontális kezelés nem ér véget az utolsó műtétet követő varratszedéssel. A fogágybetegség ugyanis nem szüntethető meg, csupán jelentős javulást lehet elérni, és a megerősödött, gyulladásmentes állapotot fenntartani. Ennek oka, hogy a betegséget okozó baktériumok nem tűnnek el a szájüregből, számukat megfelelő otthoni ínytisztítással kell alacsony szinten tartani. Emellett elengedhetetlen a rendszeres, 3-6 havonta a rendelőben elvégzett ultrahangos ínytisztítás. Ilyenkor az íny felett és alatt is eltávolíthatjuk a legutóbbi kontrollvizsgálat óta kialakult fogkövet, és a kórokozó baktériumok száma ismét alacsony szintre csökken.
Ha a fogágybetegségről van szó, sosem dőlhetünk hátra: bizonyos típusainál bármikor bekövetkezhet hirtelen, váratlan romlás, a gyulladás előre meg nem jósolható fellobbanása. A személyre szabott kontrollvizsgálatok, ultrahangos ínytisztító kezelések során azonban ezek a szövődmények még idejében felismerhetőek, így megelőzhető a további fogvesztés.
A szájhigiéné fontossága
A megfelelő szájápolás a kezelés sikerének legalapvetőbb feltétele
A fogágybetegség esetében a legszakszerűbben elvégzett orvosi kezelés sem lehet sikeres, ha a páciens nem képes megfelelő otthoni szájhigiénét fenntartani. A szájüregi baktériumflóra összetétele nem változtatható meg, a mennyisége azonban igen. Ezt célozzák a teljes körű kezelés során elvégzett ultrahangos ínytisztítások, tasakkürettek, műtéti beavatkozások. A kórokozó baktériumok ennek ellenére továbbra is jelen vannak a szájüregben. Ha pedig a parodontális kezeléseken átesett páciens nem tudja fogait, ínyét lepedékmentesen tartani, illetve nem jelenik meg az előírt ultrahangos ínytisztításokon, a lehetséges visszafertőződés miatt állapota előbb vagy utóbb ismét romlani fog.
A Dentpoint Implantológiai és Parodontológiai Centrumban a megfelelő otthoni szájápolási szokások elsajátításában is segítünk: rendelőnkben megtudhatja, milyen eszközökkel és hogyan kell ínyét, fogait a tartós siker érdekében helyesen ápolni.
Ki végzi a parodontológiai beavatkozásokat?
Dr. Molnár Bálint PhD
fogorvos, parodontológus szakorvos, egyetemi docens
Fő szakmai tevékenysége:
- Parodontológia
- Implantológia
- Rögzített- és kivehető fogpótlások
Dr. Szvoboda Balázs
fogorvos, parodontológus szakorvos-jelölt
Fő szakmai tevékenysége:
- Parodontológia
- Fogmegtartó kezelések
- Esztétikai fogászat
- Rögzített- és kivehető fogpótlások
Balla Evelin
fogászati asszisztens, dentálhigiénikus
Szentes Enikő
fogászati asszisztens, dentálhigiénikus
Bejelentkezés fogászati vizsgálatra
Ha rendelőnk felkeltette az érdeklődését, lépjen velünk kapcsolatba!
Hat meggyőző érv a Dentpoint Fogászati, Implantológiai és Parondontológiai Centrum mellett:
- Barátságos, nyugodt környezetben várjuk;
- Fogorvosaink felkészültek pácienseink teljeskörű kezelésére, rendszeresen részt vesznek hazai és nemzetközi továbbképzéseken;
- Munkánk legfőbb célja a hosszú távú, minőségi eredmény;
- Orvosaink és asszisztenseink számára is alapvető az empatikus hozzáállás, amelynek a páciens van a fókuszában;
- Munkáinkra garanciát vállalunk;
- Számunkra kiemelten fontos az Ön elégedettsége.
Forduljon hozzánk bizalommal!
Írjon nekünk
Bejelentkezés
+36 30 257 6088
+36 1 365 6674
Rendelő
1114 Budapest, Fehérvári út 7. I. em. 3.
Nyitvatartás
H, K, CS: 14-20:00
SZE: 8-20:00
info@dentpoint.hu
fb.com/dentpoint.hu
Médiamegjelenések
Dr. Molnár Bálint A mozgó fogak nagy része ma már megmenthető címmel tartott előadást a Semmelweis Egyetem konferenciáján. Az előadást nagy érdeklődés és médiavisszhang követte. Az egyetem oldalán is megjelent egy részletes beszámoló, amit számos szakmai oldal átvett, és tévéinterjúk sora követett.
Pácienseink véleménye

Rátonyi Kriszta - televíziós műsorvezető
“Műsorvezetőként a mosolyom a munkaeszközöm, ezért nagyon fontos a fogaim szépsége. Minden alkalommal biztonságban érzem magam, amikor beülök A Dentpoint rendelőben a fogorvosi székbe. Kivételes, amikor a hozzáértés és az empátia egyszerre van ilyen magas szinten jelen, de Dr. Molnár Bálint és csapata bebizonyította, hogy ez lehetséges.”

Széll Tamás - mesterszakács
“A kiváló ételek elkészítése csak a receptek pontos alkalmazásával, nagy odafigyeléssel lehetséges. A Dentpointnál pontosan azt a magas szintű szakmaiságot és figyelmet tapasztaltam, amit én is megkövetelek a gasztronómiában. Számomra egyértelmű, hogy ha fogorvosi kezelésről van szó, Dr. Molnár Bálintot és a Dentpoint csapatát választom.”