A fog tályogos gyulladása gyakran intenzív fájdalommal jár, ezért fontos, hogy a betegséget minél előbb diagnosztizálja és kezelje egy felkészült fogorvos. A fogtályog ugyanis, ha elhanyagolják, súlyos következményekkel járhat.
Mielőtt rátérünk jelenlegi témánkra, olvasóink szíves figyelmébe ajánljuk a szájsebészeti kezelésekről szóló aloldalunat, ahol valamennyi, rendelőnkben végzett szájsebészeti beavatkozásról informálódhatnak. (És természetesen a szájsebészeti eljárások árait is megtalálhatják weboldalunkon.)
A fogtályog kialakulása
A fogtályog kialakulását megelőzi a fog gyulladásos betegsége.
Ha a kórokozó baktériumoknak sikerül bejutniuk a fog belsejébe, megfertőzik azt. Amikor a fertőzés továbbterjed, eléri a fog gyökerét, ahol az elszaporodó baktériumok foggyökérgyulladást okoznak. A kórokozókat elpusztító fehérvérsejtek és az elpusztult baktériumok, valamint az elhalt szövetek összességéből genny jön létre. A tályog tehát valójában egy, a fog gyökerénél megjelenő gennyes góc. Ez a betegség egyébként a szájüreg egyéb részein is megjelenhet (például fogíny tályog).
A fogtályog kialakulását segítő tényezők:
- fogszuvasodás (amivel nem fordultak időben orvoshoz)
- ha a fog megsérül, elreped vagy letörik
- a fogtömés meglazulása
- fogágybetegség kialakulása
A tályogos fog tünetei
- feszülő íny
- duzzadt arc
- érzékeny fogak
- a betegnek olyan érzése van, mintha az egyik foga (a tályogos fog) kissé megemelkedne
- láz, illetve hőemelkedés (a szervezet válasza a fertőzésre)
- duzzanat vagy gennyzacskó megjelenése a fogínyen
- megduzzadó nyaki nyirokcsomók
- kellemetlen közérzet, levertség
- intenzív, sajgó fájdalom
A fenti tünetek esetén a gennyes fog orvosi kezelése elengedhetetlen.
Mi a teendő, ha a fogtályog kifakad?
Ez egyrészt rövid távon pozitív fejlemény, mert megkönnyebbülést hozhat a beteg számára. A gennyes fog ilyenkor egy ideig kevésbé fáj, az arcduzzanat visszahúzódik vagy akár teljesen megszűnik. A probléma az, hogy az enyhülés ideiglenes, ha a fogtályog nem kap szakszerű orvosi kezelést, csak idő kérdése, és újra megjelennek a betegség tünetei.
Amikor a fognál kialakult tályog kifakad, a genny áttör a lágyszöveteken vagy – ha a csont nem túl vastag – akár a csontszöveten keresztül a szájüregbe. A sipoly, illetve fisztula az a kivezető nyílás, amelyen keresztül távozik a genny a tályogból (ez a “fisztulás fog” kifejezés magyarázata is).
A tályog kezelése
A fogtályog kezeléséhez a betegséget okozó problémát kell megszüntetni. Ez többféle módon is megvalósulhat:
- gyökértöméscserével vagy
- gyökércsúcs-rezekció alkalmazásával.
(Utóbbi kezelésnél a fog gyökércsúcsát távolítják el műtétileg, esetenként úgynevezett retrográd gyökrétöméssel.) Ha pedig nincs más megoldás, a fogat ki kell húzni.

Ha a fogtályog állapota súlyos, akut, fluktuál a duzzanat, műtéti beavatkozásra van szükség. A fogtályog kezelése ilyenkor az érzéstelenítéssel kezdődik, majd a szájsebész egy pici vágást ejt a tályogon. Miután ezen keresztül eltávozik a genny a gennyzacskóból, egy fertőtlenítő csíkot illesztenek be a sebbe. Ha a fogorvos úgy ítéli meg, antibiotikum szedését is előírhatja a páciensnek, illetve (nem szteroidos) gyulladáscsökkentőt is alkalmazhat.
Sajnos a gyulladás következtében a tartószövetek olyan mértékben elhalhatnak, hogy egy idő után már képtelenek megtartani a fogat. Ilyenkor a foghúzás az egyetlen lehetséges megoldás.
A gennyes gyulladások, például a foggyökérgyulladás, de különösen a gennyes ínygyulladás kezelése házilag azonban igen kockázatos lehet. Az ilyen betegségekkel, tünetekkel ezért minden esetben érdemes egy felkészült fogorvoshoz fordulni, aki a páciens állapotának megfelelő legideálisabb kezelést alkalmazza.
Mik lehetnek a fogtályog következményei?
Mint általában a betegségeknél, a fogból eredő gyulladásoknál is igaz, hogy minél előbb kezelik, annál kevésbé tud elhatalmasodni. Ha azonban nem fordulnak vele időben orvoshoz, az alábbi szövődményekre lehet számítani:
- különféle gócbetegségek kialakulása
- a csontszövet pusztulása
- mélyszöveti gyulladás, amely továbbterjedhet (szepszis veszélye)
- fogvesztés, illetve akár több fog elvesztése
Iratkozzon fel és értesüljön elsőként a legfrissebb blogposztokról:
Semmi spam, csak színtiszta szájhigiénia.
Hogyan előzhető meg a tályogos fog kialakulása?
A megelőzés, ahogyan általában, ebben az esetben is sokkal egyszerűbb és hatékonyabb, mint a betegség utólagos kezelése. A megelőzés egyik alapvető eleme a megfelelő szájhigiéné kialakítása és fenntartása. Ehhez minden nap legalább kétszeri fogmosás szükséges, és érdemes fogselymet is használni a fogközök tisztán tartására.
Ugyanilyen fontos a fogak ellenőrzése egy fogorvosi rendelőben. Erre évente minimum egyszer, de még jobb fél évente sort keríteni. Fontos, hogy ha valaki panaszmentes, akkor is keresse fel fogorvosát, mert egyes betegségek hosszú ideig nem, vagy alig produkálnak tüneteket.
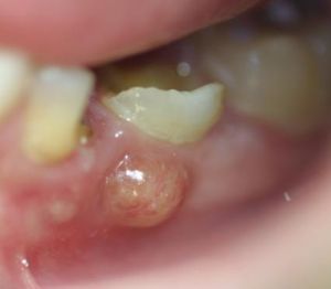
Tályog a szájban – képek



A tályog a szájban képek forrása a Wikipédia.
Érdeklődjön telefonon, illetve itt, az interneten – vagy keresse fel rendelőnket személyesen!
Amennyiben fogtályoggal vagy bármilyen más fogászati problémával kapcsolatban további kérdései merültek fel, honlapunkon felvilágosítást kérhet és időpontot is foglalhat rendelőnkbe erre a linkre kattintva.
Emellett e-mailen (info [kukac] dentpoint.hu) és telefonon (+36302576088) is szívesen állunk rendelkezésére.
Várjuk szíves érdeklődését!
