Egyszeres vagy többszörös foghiány fennállása esetén a hídpótlás vagy más néven fogászati híd megoldás lehet a meglévő foghiány pótlására. A cikkben áttekintjük a hidak típusait, az elkészítéséhez használt anyagokat, és végig vesszük az elkészítés menetét. Szó lesz a hídpótlások tartósságáról és arról is, hogy mi befolyásolja a készülő pótlás árát.
Mi az a fogászati híd?
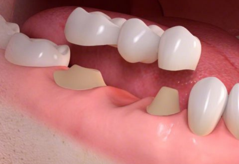
A fogászati híd egyszeres- vagy többszörös foghiányt átívelő fix fogpótlás, mely a maradék fogakon, vagy az azokat helyettesítő implantátumokon oldhatatlanul rögzül. Rendelőnkben a hagyományosan, pillérfogakon rögzített híd mellett természetesen az implantációs fogpótlások is elérhetők.
A híd típusai
1.: Ha a híd fogakra illeszkedik, hagyományos, dentális elhorgonyzású hídról van szó.
2.: Az implantációs híd ezzel szemben előzetesen beültetett implantátumokra, azaz műgyökerekre illeszkedik.
1. Dentálisan elhorgonyzott hídpótlás
A köznyelvben használatos híd a meglévő foghiányt határoló fogakra ragasztással kerül rögzítésre. Ezek a fogak az úgynevezett pillérfogak. Nagyobb kiterjedésű foghiány esetén nem csak a hiányt közvetlenül határoló fogakat, hanem akár több fogat is szükséges bevonni a hídba. Ezek lesznek az úgynevezett segédpillérek.
Ha nem áll elegendő saját foganyag rendelkezésre ahhoz, hogy a hidat biztonságosan a szakma szabályainak megfelelően rögzítsük, akkor szükséges lehet a destruálódott, pilléreknek szánt fogakon csonkfelépítést végezni. Ha a pillér oly mértékben roncsolódott, hogy nem lehet egyszerű a csonkot felépíteni, akkor szükségessé válhat a fog gyökérkezelése valamint gyökércsapos felépítése, mielőtt a végleges pótlás elkészülne.
A fogak előkészítése
A fog előkészítésekor a fémmentes megoldásokhoz hasonlóan, a fémkerámia koronák esetén is ún. vállas előkészítést alkalmazunk. A vállas előkészítés azt jelenti, hogy a fog ínnyel szomszédos részébe egy kis peremet, vállat csiszol a fogorvos, ami megszabja a későbbi korona határát és megfelelő helyet biztosít a korona szélének.
Mivel a fogtechnikus kolléga a gipsz vagy digitális mintán pontosan látja a preparáció határát, így az elkészült korona széle nem áll el a fogtól, könnyebb a tisztíthatósága, nem szuvasodik alá az elkészített pótlás. Ezzel az eljárással a fogpótlás sokkal természetesebb hatást kelt, és az íny számára is kíméletes megoldást jelent.

Hogyan készül a fogpótlás híddal?
Az esetek többségében elegendő 3-4 alkalom ezeknek a fogpótlásoknak az elkészítéséhez, ami rendszerint 1-2 hetes időintervallumot jelent.
- Az első kezelés alkalmával a fogak előkészítésére, lecsiszolására kerül sor. Ha esetleg van szuvas rész a fogakon, akkor ez eltávolításra kerül. Ha szükséges (ez a károsodás mértékétől függ) gyökérkezelés, csonkfelépítés vagy csapos felépítés, azt is elvégzi a fogorvos
- Ezután következik a lenyomat készítése, amely gyakorlatilag egy mintavétel a fogakról. Tulajdonképpen a szájképletek negatív mása, melynek célja, hogy az információt továbbítsuk a technikus kolléga részére
- Az első alkalom végén egy ideiglenes híd kerül a fogakra, mely a fogak védelmét szolgálja. Itt érdemes megjegyezni, hogy étkezésnél kerülni kell a túl nagy terhelést, a túl kemény ételek rágását.
- A második alkalom egy ún. vázpróba, amikor a fogorvos a fogmű fém vagy cirkónium-dioxid, illetve kerámia váz pontosságát vizsgálja meg.
- Ezt követi egy úgynevezett nyerspróba, mely során már a páciens számára is felmérhető a készülő hídpótlás külleme. Ha esetleg valamilyen változtatást szeretne akár a szín, akár a formát illetően a fogorvos vagy a páciens, akkor ebben az ülésben ezek a változtatások még kérhetőek a technikustól. (A rá következő 1-2 ülésen belül a híd átadható, beragasztható)
- Ha minden rendben van a nyerspróba során, utána következik az úgynevezett készrevitel és ragasztás fázisa.
Fáj a fogászati híd elkészítése?
Mivel a beavatkozás helyi érzéstelenítében történik, a kezelés abszolút fájdalommentes. A mintavétel járhat kellemetlen érzéssel, de ekkor sem beszélhetünk fájdalomról.
2. Az implantációs híd
Az implantációs híd esetén az elhorgonyzást nem a saját fogak, hanem implantátumok biztosítják. A fogimplantátum egy speciális titán csavar, amely az elveszett fog gyökerét pótolja. Az implantátum behelyezése műtéti beavatkozást igényel.
Miután az implantátum becsontosodott (integrálódott) az állcsontba, többhónapos gyógyulási szakasz után történhet meg az implantátumok felszabadítása, majd újabb, pár hetes gyógyulási szakasz után a lenyomatvétel. A híd elkészítésének lépései ezitán már nagyon hasonlóak, mint a fogakon rögzülő híd esetében.
Az implantátumokon elhorgonyzott híd elkészítése lassabb folyamat, hiszen meg kell várni a beültetett fogimplantátum becsontosodását, ami esettől függően körülbelül 4-9 hónapot jelent. Ugyanakkor érdemes kivárni ezt az időt, hiszen jóval tartósabb, terhelhetőbb, esztétikusabb megoldást nyújt, mint egy kivehető fogpótlás.
Mennyire fájdalmas a fogimplantáció?
A rendelőnkben elérhető a teljes mértékben fájdalommentes kezelés, köszönhetően egyrészt az alkalmazott helyi érzéstelenítő módszereknek, másrészt a világ élvonalába tartozó technikai berendezéseknek, eljárásoknak.

A különböző foghíd típusok összehasonlítása
Az áttekinthetőség kedvéért készítettünk egy összehasonlító táblázatot a foghidak két típusának előnyeiről és hátrányairól.
| Saját fogakon elhorgonyzott hídpótlás | Implantátumokon elhorgonyzott hídpótlás | |
|---|---|---|
| Hátrányok | – Egészséges fogak lecsiszolásával jár – A hidat tartó fogak túlterhelődhetnek – A híd alá ételmaradék kerülve a pillérfogak szuvasodása, fogínygyulladás következhet be – Nem terheli megfelelően a a foghiány területén az állkapocscsontot, így a csontállomány sorvadása következhet be – középhosszú távú megoldás, körülbelül 1 évtizedig, utána cserére szorul – Nem tökéletes rágási funkció, a keményebb ételeknél vigyázni kell |
– Költségesebb – Az elkészítés időtartama hosszabb, mivel meg kell várni az implantátum becsontosodását – Ha nem megfelelő a csontállomány, csontpótlásra lehet szükség, ami tovább növeli a költségeket, plusz műtéti beavatkozást vehet igénybe |
| Előnyök |
– Kedvezőbb ár |
– Nem kell lecsiszolni az egészséges fogakat |
Az implantátumokon elhorgonyzott híd jelenleg a leghatékonyabb, legkorszerűbb technológia. Ár-érték arányban ez a legjobb választás hosszú távon.
A híd elkészítéséhez alkalmazott anyagok
A híd lehet fémmentes, mely nagyobb esztétikumot, vagy készülhet fémre épített kerámiarétegekből, mely nagyobb teherbírást tesz lehetővé.
Fémmentes híd: Porcelán és cirkónium
A porcelán korona a cirkónium koronához hasonlóan teljesen fémmentes megoldás a fogpótlásra. Ezáltal nemcsak a fémallergia küszöbölhető ki tökéletesen, de a hibátlanul esztétikus, a valódi fogakkal tökéletesen egyező megjelenés is könnyedén elérhető, még a frontfogak esetében is.
A rendelőnkben elérhető Ivoclar e.max préskerámia és cirkónium-kerámia technológiák garanciát jelentenek a hosszú távú, megbízható fogpótlásra, csakúgy, mint a gyönyörű, természetes mosolyra.
Fémkerámia fogkorona és foghíd
A fémkerámia korona és fogászati híd olyankor praktikus megoldás, ha fontos a nagy teherbírás, ugyanakkor a pótlás nincsen szem előtt. Tipikusan az oldalsó területeken elhelyezkedő, kisőrlő és őrlő fogak pótlásánál jön szóba ez a megoldás, amikor egy rendkívül szilárd fémvázra viszik fel a pótlás külső felületét alkotó porcelánrétegeket. A fémváz általában kobalt-króm ötvözet. Nikkelt – amire sokan allergiásak – nem tartalmaz.
Aranykerámia fogászati híd
Amennyiben fémkerámia fogkorona mellett döntünk, az aranykerámia fogpótlások a legidőtállóbbak. A fogkorona vázának nemesfémtartalma ugyanis lehetővé teszi, hogy széle anyagtani okokból fakadóan a lehető legtökéletesebben záródjon. Annyira pontosan, hogy még mikroszkóppal sem látható semmiféle rés vagy differencia.
Amellett, hogy esztétikai szempontból is kiváló fogpótlás az eredmény, a higiénia és tartósság terén is kimagasló az aranykerámia fogkorona minősége. A szájüregben található baktériumok ugyanis nem képesek elszaporodni a nemesfémből készült fogkorona széleinél, így a fogszuvasodás rizikója is sokkal csekélyebb. Az említett előnyös tulajdonságai miatt az aranykerámia fogkorona élettartama akár lényegesen meghaladhatja a hagyományos fémkerámia koronákét.

Mire számítsunk a gyógyulásnál?
Hagyományos, fogakon rögzülő híd alkalmazásánál a lecsiszolt fog érzékeny lehet, amely a pótlás felhelyezése utáni pár napban múlik el.
Fogimplantátum beültetése esetén a csontosodás attól függően, hogy szükséges-e csontpótlás, jellemzően 2-6 hónap, ezalatt több kontrollvizsgálat történik, melynek során ellenőrizzük a páciens szájhigiénéjét, és ha szükséges, további tanácsokkal látjuk el. Ezen kívül a kontrollok alkalmával fel tudjuk deríteni az esetleges beültetés utáni gyulladást, melyet a korai fázisban könnyebb kezelni, ezzel megelőzve az implantátum fertőzés miatt történő kilökődését.
Foghíd árak: mi befolyásolja?
A fogászati híd árakat elsősorban a híd típusa határozza meg.
A fogakon elhorgonyzott híd ára kedvezőbb, a pontos ár attól függ, hogy milyen anyagból készül és hány tagból áll, azaz hány fogat pótolunk vele. Ahány tagból áll a foghíd, annyi korona árával kell tehát számolni. Rendelőnkben a hídtagok ára 70 000 és 100 000 Ft között van. Részletes foghíd árak itt tekinthető meg.
Implantációs foghíd esetén a foghíd árához hozzájön a a fogimplantátum beültetésének költsége, melyek az implantátum gyártójától függően implantátumonként 160 000 és 250 000 Ft-ba kerülnek, valamint az úgynevezett fej, illetve műcsonk ára, mely az implantátum és a hídpótlás közti összeköttetést hivatott biztosítani. Ezen elemek ára implantátum gyártótól és anyagtól függően 30 000-90 000 Ft között mozognak.

Amennyiben az itt olvasottak bizalmat ébresztettek Önben vagy további kérdései merültek fel, honlapunkon felvilágosítást kérhet vagy időpontot is foglalhat rendelőnkbe. Ezen felül e-mailen (info @ dentpoint . hu) és telefonon (+36302576088) is szívesen állunk rendelkezésére.
Várjuk szíves érdeklődését!
