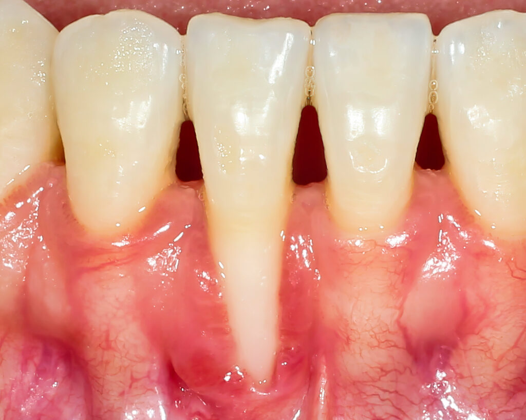
Az ínyrecesszió kezelése a parodontológia egyik leggyakoribb, ugyanakkor legnagyobb kihívást jelentő területe. Amikor az íny visszahúzódik, a fog gyökérfelszíne szabaddá válik, ami nemcsak esztétikai problémát okozhat, hanem érzékenységgel, gyulladásos kockázattal és hosszú távon további szövetvesztéssel is együtt járhat.
A gyökérfedésre jelenleg a szájpadlásból vagy a felső bölcsességfogak helyéről eltávolított subepitheliális kötőszöveti graft (CTG) számít az arany standard eljárásnak. Ez azonban szövetnyerést igényel a szájpadlásról, ami meghosszabbítja a műtét idejét, és növelheti a beavatkozás utáni kellemetlenségeket – különösen akkor, ha több egymás melletti ínyrecessziót kell egyszerre kezelni.
Ezek miatt az elmúlt években egyre nagyobb hangsúlyt kapnak az alternatív, donorterületet nem igénylő biomateriális megoldások, elsősorban a keresztkötött xenogén kollagén mátrixok.
Az alábbi összefoglaló az European Federation of Periodontology (EFP) szakmai cikke alapján készült. Ez nem az a cikk!

Miért került előtérbe a kollagén mátrix?
A keresztkötött xenogén kollagén mátrix (VCMX) több szempontból is előnyös megoldást jelent az ínyrecesszió kezelésében. Alkalmazásához nincs szükség szövetvételre egy másik területről, térfogatát hosszú távon megőrzi, és azonnal felhasználható. Emellett biológiai vázként szolgál, amely elősegíti a lágyszövetek gyógyulását és természetes érését.
Korábbi, rövid távú vizsgálatok azt mutatták, hogy a kollagén mátrix rekombináns humán trombocita-eredetű növekedési faktor-BB-vel (rhPDGF-BB) kombinálva javíthatja a korai sebgyógyulást, kedvezőbb esztétikai eredményeket és nagyobb lágyszöveti térfogatot eredményezhet. Ugyanakkor továbbra is kérdés maradt, hogy ezek az előnyök hosszabb távon is megmaradnak-e.
A vizsgálat célja és felépítése
A hároméves utánkövetéses, hármas vak, randomizált klinikai vizsgálat célja az volt, hogy megvizsgálja, mennyire marad tartós a gyökérfedés közép- és hosszú távon. Továbbá, van-e kimutatható hosszú távú előnye a növekedési faktor (rhPDGF-BB) alkalmazásának, valamint hogy a kezelt területek hogyan változnak az idő múlásával a kezeletlen, ellenoldali fogakhoz képest.
A vizsgálatba olyan pácienseket vontak be, akiknél több egymás melletti ínyrecesszió volt jelen. Minden betegnél ugyanazt a sebészi eljárást alkalmazták: koronálisan elcsúsztatott lebenyes (CAF) műtétet végeztek, amelyet kollagénmátrix beültetésével egészítettek ki.
- A tesztcsoportban a kollagén mátrix rhPDGF-BB-vel volt átitatva.
- A kontrollcsoportban a mátrixot fiziológiás sóoldattal kezelték.

Milyen kulcseredmények születtek 3 év után?
Gyökérfedés stabilitása
A vizsgálat legfontosabb eredménye az volt, hogy mindkét alkalmazott kezelési módszer tartós és megbízható gyökérfedést biztosított. A hat hónapos kontrollhoz képest három év alatt csak minimális visszaesést figyeltek meg.
A kezelt területek több mint 90%-án az ínyszél elmozdulása nem haladta meg a 0,5 millimétert, ami klinikai szempontból stabil állapotnak számít. Három év elteltével sem az átlagos, sem a teljes gyökérfedés mértékében nem mutatkozott statisztikailag igazolható különbség a két csoport között.
Ez azért különösen fontos megállapítás, mert a hosszú távon stabil eredmények a gyakorlatban gyakran nagyobb jelentőséggel bírnak, mint a kezelés utáni korai javulás.
Lágyszöveti minőség és ultrahangos vizsgálatok
Az ultrahangos vizsgálatok részletes képet adtak a kezelt területek szöveti minőségéről:
- Mindkét csoportban nőtt a lágyszövet vastagsága, sűrűsége és merevsége (ultrahangosan mérve).
- Ezek a változások valódi szöveti érésre és fenotípusváltásra utalnak, nem pusztán átmeneti volumenpótlásra.
- A kezeletlen ellenoldali fogaknál ezzel szemben progresszív ínyrecesszió és fokozódó dentinérzékenység volt megfigyelhető.
Érdekes megfigyelés volt, hogy azoknál a területeknél, ahol a szövet a koronális részen puhább maradt, nagyobb eséllyel következett be későbbi ínyszél-apikális elmozdulás. Ennek mi az eredeti angol változata? Sajnos nem tudom kibogozni a cikk hiányában.)
Páciensek által jelentett eredmények
A betegek szempontjából is kedvező eredmények születtek:
- Magas volt az elégedettség mind funkcionális, mind esztétikai szempontból.
- A dentinérzékenység a kezelt területeken szignifikánsan csökkent.
- A kezeletlen fogaknál ezzel szemben az érzékenység az idő előrehaladtával fokozódott.
Ez megerősíti, hogy a kezelés nemcsak klinikai, hanem életminőség növelő szempontból is előnyös.
Mit jelent mindez a klinikai gyakorlatban?
A vizsgálat egyik legfontosabb üzenete, hogy:
- a keresztkötött kollagén mátrix koronálisan elcsúsztatott lebeny technika használata mellett önmagában is megbízható, hosszú távon stabil megoldás többszörös ínyrecessziók kezelésére,
- az rhPDGF-BB hozzáadása nem eredményezett kimutatható hosszú távú előnyt a hároméves utánkövetés során,
- ezért a klinikusok mérlegelhetik a növekedési faktor alkalmazásának elhagyását, különösen költség- és egyszerűségi szempontból.
A biomateriális megközelítés előnye, hogy:
- elkerülhető a donorterületi műtét,
- csökken a posztoperatív megterhelés,
- kiszámítható, stabil ínyállapot érhető el középtávon.
Összefoglalva
A hároméves utánkövetéses eredmények egyértelműen igazolják, hogy a kollagén mátrix-alapú gyökérfedés nemcsak rövid távon hatékony, hanem tartós, biológiailag stabil és páciensbarát megoldás többes ínyrecessziók kezelésében.
Bár a növekedési faktorok alkalmazása ígéretes lehet, ebben a vizsgálatban nem igazolódott hosszú távú klinikai többlet előnyük, ami fontos iránymutatást ad a mindennapi parodontológiai döntéshozatalhoz.
Érdeklődjön telefonon, online, vagy keresse fel rendelőnket személyesen!

Amennyiben ínyrecesszióval vagy bármilyen fogászati problémával kapcsolatban segíthetünk, várjuk szeretettel rendelőnkben, örömmel állunk rendelkezésére! Honlapunkon felvilágosítást kérhet és időpontot is foglalhat erre a linkre kattintva.
Emellett e-mailen (info@dentpoint.hu) és telefonon (+36302576088) is szívesen fogadjuk megkeresését.
Várjuk szíves érdeklődését!
